Forest Hills Crowns and Bridges
Porcelain Crowns
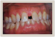
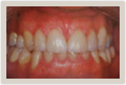
Applied Procedures: Porcelain Crowns
P6378_ss2944bs_t P6378_ss2944ys_t
Before Photo After Photo
Applied Procedures: Porcelain Crowns
P6378_ss2945bs_t P6378_ss2945ys_t
Before Photo After Photo
Applied Procedures: Dental Bridges, Porcelain Crowns
P6378_ss2946bs_t P6378_ss2946ys_t
Before Photo After Photo